Hàm duy trì là gì? Phải đeo bao lâu sau niềng răng?
Đeo hàm duy trì là việc rất quan trọng bạn cần thực hiện sau niềng răng, luôn được các bác sĩ chỉ định. Vậy hàm duy trì là gì? Phải đeo hàm duy trì bao lâu sau niềng răng?
Hàm duy trì là gì?
Hàm duy trì là khí cụ bắt buộc cần phải sử dụng sau khi tháo mắc cài, khí cụ này giúp giữ cho răng ổn định và hạn chế xô lệch chân răng về vị trí cũ. Sau khi tháo mắc cài, bác sĩ sẽ tiến hành lấy dấu răng và gửi labo chế tác khí cụ phù hợp với khuôn răng của từng người để đảm bảo hàm duy trì có thể ôm sát vào phần chân răng không bị xô lệch lại.
Tại sao cần đeo hàm duy trì?
Đeo hàm duy trì là bước bắt buộc sau khi quá trình niềng răng kết thúc, loại hàm này giúp cố định và hạn chế tình trạng răng chạy về vị trí trước khi niềng. Răng của chúng ta được đặt ở phần trong của xương hàm, xung quanh chân răng là các dây chằng nha chu có khả năng ghi nhớ vị trí tồn tại của răng. Bởi vậy sau khi kết thúc niềng răng bạn cần đeo hàm duy trì để răng có thêm thời gian giúp phần lợi và dây chằng nha chu ổn định ở vị trí mới, tránh dịch chuyển về vị trí cũ.
Ngoài ra, trong thời gian niềng răng, răng cũng phải chịu lực siết lớn trong thời gian dài khiến khung xương hàm yếu và nhạy cảm hơn. Khi không có khí cụ mắc cài, dây cung cố định cùng với tác động của lực nhai răng rất dễ chạy về vị trí ban đầu.
Bởi vậy, việc đeo hàm duy trì là rất cần thiết sau niềng răng, giúp răng ổn định hơn và hạn chế lực tác động khi ăn nhai.
Phải đeo hàm duy trì bao lâu sau niềng răng?
Sau niềng răng bạn phải đeo hàm duy trì ít nhất 6 – 12 tháng, và sau đó có thể giảm dần đeo vào ban đêm, nhiều trường hợp cần đeo hàm duy trì cả đời để tránh tái phát vì răng luôn có xu hướng dịch chuyển về vị trí cũ.
Chi tiết thời gian đeo hàm duy trì như sau:
- 3 – 6 tháng đầu: Giai đoạn quan trọng nhất, bạn cần đeo liên tục 20 – 22 giờ/ngày, chỉ tháo ra khi ăn uống, vệ sinh răng miệng.
- 6 – 12 tháng tiếp theo: Có thể giảm tần suất, đeo chủ yếu vào ban đêm, tuy nhiên bạn cần hỏi ý kiến bác sĩ niềng răng của mình về thời gian đeo này, có nên giảm hay không? Bác sĩ sẽ kiểm tra và cho chỉ định phù hợp.
- 1 – 2 năm tiếp: Vẫn cần tiếp tục đeo hàm duy trì để răng được ổn định.
- Vài năm – trọn đời: Với những bạn có nền xương yếu, răng thưa, có tật đẩy lưỡi thì nên đeo hàm duy trì trọn đời để giữ răng ổn định ở vị trí đã được bác sĩ sắp xếp lại.
Về bản chất, sự tái phát không phải sẽ xảy ra ở tất cả bệnh nhân tuy nhiên rất khó để dự đoán những thay đổi sau điều trị nhất là trong một khoảng thời gian dài 5, 10 năm sau. Cách tốt nhất là bác sỹ sẽ điều trị trên tất cả bệnh nhân theo hướng họ đều có thể bị tái phát, dù là bất cứ lý do đã được biết đến hoặc chưa rõ ràng nào. Vì vậy, hiện nay nhiều bác sĩ chỉnh nha kiến nghị bệnh nhân nên đeo hàm duy trì vĩnh viễn.
Điều quan trọng, trước mỗi điều trị chỉnh nha, bác sỹ cần thông báo điều này, giải thích cho bệnh nhân hiểu để bệnh nhân thực sự hợp tác sau thời gian tháo niềng.
Sự tái phát sau niềng răng có những nguyên nhân đã được biết đến nhưng cũng có nhiều nguyên nhân còn chưa được biết đến, với những nguyên nhân đã lý giải được thì nha sĩ sẽ điều trị để không xảy ra tình trạng tái phát, và việc đeo hàm duy trì vẫn là bắt buộc, rất quan trọng.
Bệnh nhân cũng nên được giải thích rõ ràng về tầm quan trọng của bảo quản hàm duy trì, chi phí sẽ phát sinh, nghĩa là bệnh nhân sẽ phải mua hàm duy trì mới nếu đánh mất. Trường hợp tái phát do bệnh nhân không đeo duy trì và muốn lấy lại kết quả niềng răng cũ, bệnh nhân cũng bắt buộc phải đeo lại mắc cài. Tất nhiên là với thời gian ngắn và cũng đơn giản hơn là như trong quá trình còn đang điều trị toàn diện.
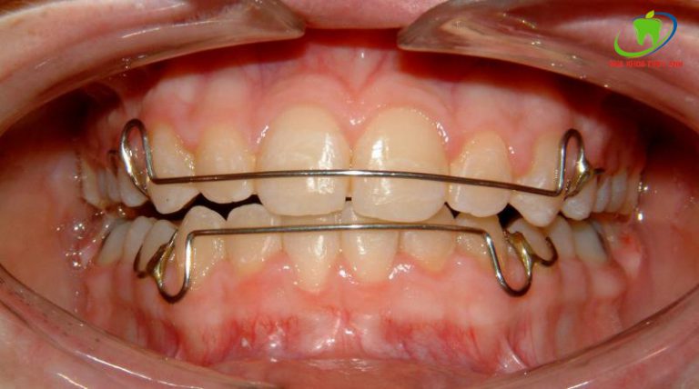
Các loại hàm duy trì sau niềng răng
Có nhiều loại hàm duy trì sử dụng trong chỉnh nha, phân làm 2 loại chính:
Loại thứ 1: Hàm duy trì dạng tháo lắp
Ưu điểm của loại này là thuận lợi cho vệ sinh răng miệng do hàm có thể tháo ra lắp vào, bạn cũng có thể đeo vào bất cứ khi nào hoặc tháo ra khi cần thiết. Thường bạn chỉ cần đeo ban đêm là đủ. Tuy nhiên nhược điểm là phụ thuộc hoàn toàn vào hợp tác của bệnh nhân, nếu bệnh nhân lơ là hoặc coi nhẹ thì tái phát sẽ đến sớm.
Trên thị trường các bạn có thể thấy dạng phổ biến nhất của loại hàm duy trì tháo lắp này là các hàm Hawley (có nền nhựa acrylic và dây thép vòng ra phía ngoài).
Hoặc các hàm ép bằng nhựa trong. Bệnh nhân thì thường thích loại hàm nhựa trong hơn. Tuy nhiên đến nay vẫn chưa có nghiên cứu so sánh hiệu quả rõ ràng, loại nào hơn loại nào giữa hàm hawley và hàm ép bằng nhựa trong, các bạn có thể sử dụng cả 2 loại. Trên những bệnh nhân có thói quen nghiến răng ban đêm thì nha sĩ có thể chế tác máng chống nghiến cho bạn ngậm như một khí cụ duy trì.
Loại thứ 2: Duy trì cố định bằng dây thép
Ưu điểm là không cần sự hợp tác của bệnh nhân, vì cung duy trì cố định chắc chắn vào mặt trong răng. Tuy nhiên nhược điểm của nó là khó vệ sinh, dễ bị đọng mảng bám, thức ăn. Bạn cần vệ sinh răng thật kỹ, đi nha sĩ định kỳ để được hỗ trợ vệ sinh răng và kiểm tra xem cung duy trì có bị lỏng hay bật ra không.
Có một vài báo cáo cho thấy, nếu bác sĩ chỉnh nha không có kinh nghiệm sử dụng lực dán thụ động và dây cung quá cứng sẽ làm răng di chuyển theo hình dạng dây cung. Vì lúc này dây cung duy trì lại biến thành dây cung niềng răng mặt trong.
Các nghiên cứu cho thấy với những trường hợp chỉ cần duy trì ban đêm thì hiệu quả của hàm duy trì cố định, tháo lắp là như nhau. Nhưng với trường hợp cần duy trì toàn thời gian, thì việc duy trì cố định sẽ cho kết quả tốt hơn. Những trường hợp bạn cần đeo duy trì toàn thời gian phổ biến gồm:
– Đóng khe thưa
– Mở khoảng trước khi làm phục hình
– Những trường hợp xoay răng nặng
– Bệnh nhân có vấn đề về khớp cắn
– Kéo răng ngầm nặng
– Bệnh nhân khe hở môi vòm miệng mà hậu phẫu có sẹo lớn
– Trong những trường hợp điều trị bù trừ, tức là cải thiện về mặt thẩm mỹ nhưng không hoàn toàn đưa được về một tương quan cắn khớp lý tưởng.
Trong một bài tổng quan của thư viện Cochrane cũng cho thấy không có bằng chứng rõ ràng về việc hàm duy trì nào hiệu quả hơn hàm duy trì nào. Trên mỗi bệnh nhân tùy vào tình trạng, đặc thù công việc, khả năng hợp tác nha sĩ, mức độ kỳ vọng… mà nha sĩ sẽ ra chỉ định cho bạn phù hợp nhất.
>>> Xem thêm: https://nhakhoathuyanh.com/ham-duy-tri-la-gi-co-nhung-loai-ham-duy-tri-nao-nha-khoa-thuy-anh/
Tóm lại, hàm duy trì là dạng khí cụ rất quan trọng sau niềng răng và bạn cần thực hiện đeo theo đúng chỉ định của bác sĩ để đảm bảo duy trì kết quả tốt nhất sau tháo mắc cài. Thời gian đeo có thể từ 6 tháng tới trọn đời tùy từng tình trạng.
NHA KHOA THÙY ANH – HỆ THỐNG NHA KHOA UY TÍN HÀNG ĐẦU VIỆT NAM
Chuyên sâu về: Niềng răng, trồng răng implant, trồng răng toàn hàm all on 4, nhổ răng khôn, điều trị cười hở lợi, bọc răng sứ, dán sứ veneer, điều trị khớp thái dương hàm…
Hotline: 0869.800.318 – 0965.800.318
Fanpage: fb.com/NKTA.official
Youtube: Youtube.com/nhakhoathuyanh

Em 16 tuổi nên đeo hàn duy trì bao lâu sau khi niềng răng
Chào em, thời gian đeo hàm duy trì sẽ phụ thuộc vào từng trường hợp cụ thể, có thể là 6 tháng – 1 năm, thậm chí là đeo hàm duy trì vĩnh viễn để có được kết quả chỉnh nha ổn định em ạ. Em có thể tham khảo thêm về thời gian đeo hàm duy trì ở link web sau: http://rangthuyanh.com/view_article.php?item_id=319&cat_id=45
Nếu cần tư vấn cụ thể hơn bạn có thể Inbox vào fanpage: fb.com/thuyanhclinic hoặc gọi tới số hotline 0869800318 hoặc 0965800318 nhé ạ