Trẻ em nghiến răng có sao không? Cách điều trị và phòng ngừa
Cha mẹ phát hiện ra trẻ nghiến răng ken két vào ban đêm, thậm chí thấy răng trẻ mòn vẹt đi, và rất lo lắng những điều này có thể ảnh hưởng tới sức khỏe răng miệng của trẻ nói riêng và sức khỏe tổng thể nói chung. Bài viết sau đây sẽ cung cấp những kiến thức tổng quan về chứng nghiến răng ở trẻ và cách giảm thiểu tác hại của nghiến răng cho trẻ.
Nghiến răng là tình trạng như thế nào?
Nghiến răng là hành vi nghiến, siết chặt hoặc cọ xát răng vào nhau quá mức, không tự chủ. Hoạt động này của răng và cơ nhai không phục vụ hoạt động chức năng như ăn nhai, nuốt, nói, nên được gọi là hành vi cận chức năng. Do các lực cận chức năng lặp đi lặp lại, không kiểm soát được này, hàm răng có thể phải chịu tổn hại do hoạt động quá nhiều, ngoài nhiệm vụ vốn có của nó.
Trẻ em dễ mắc phải nhiều thói quen vô thức, chẳng hạn như cắn móng tay, mút tay; nghiến răng cũng như vậy. Trẻ có thể nghiến răng khi thức, biểu hiện bằng việc nghiến/siết chặt, thường xảy ra mà không hề hay biết, đặc biệt trong những tình huống căng thẳng hoặc tập trung cao độ.
Trẻ cũng có thể nghiến răng khi ngủ, biểu hiện bằng tiếng nghiến ken két mà cha mẹ nghe thấy. Với nghiến răng khi thức, nếu nhắc trẻ nhận thức được điều này, có thể dễ ngăn chặn hoặc điều chỉnh hành vi; nhưng khi ngủ thì rất khó để kiểm soát. Tỉ lệ nghiến răng khi ngủ ở trẻ em được báo cáo trong các nghiên cứu rất khác nhau, từ 14-36,8%.
Điều này do khác biệt về tiêu chuẩn chẩn đoán nghiến răng. Trẻ thường không nhận biết được tiếng nghiến răng; còn cha mẹ không phải lúc nào cũng biết về chứng nghiến răng ở con mình. Điện não đồ là tiêu chuẩn vàng để chẩn đoán chứng nghiến răng khi ngủ, nhưng do chi phí cao, thời gian thực hiện kéo dài và yêu cầu trình độ chuyên môn cao, điện não đồ không được sử dụng trong hầu hết các trường hợp lâm sàng.
Hậu quả của tình trạng nghiến răng ở trẻ em
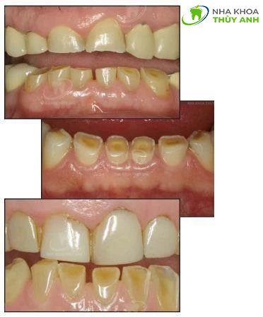
1. Mòn răng
Mòn răng là hậu quả lâm sàng phổ biến của chứng nghiến răng khi ngủ. Lớp men răng sữa thường kém khoáng hóa hơn răng vĩnh viễn, nên tốc độ mòn răng có thể tiến triển nhanh hơn. Cộng thêm việc nếu trẻ ăn vặt nhiều, uống nhiều nước có ga, vệ sinh răng miệng kém, mức độ phá hủy men răng sẽ nặng hơn. Khi răng mòn tiến triển có thể gây ê buốt, đau răng khi mòn tới tủy, nặng hơn có thể mất răng sữa sớm. Một số ảnh hưởng khác có thể là mỏi hoặc đau cơ hàm buổi sáng thoáng qua; đau đầu tạm thời hoặc cứng hàm khi thức dậy.
2. Ảnh hưởng tới giấc ngủ
Trẻ em cần ngủ đủ giấc để đảm bảo cho quá trình phát triển, tăng trưởng; còn nghiến răng thường xảy ra trong khi ngủ, nên liệu nghiến răng có ảnh hưởng tới chất lượng giấc ngủ của trẻ?
Ferreira và cộng sự đã chỉ ra rằng có mối tương quan giữa nghiến răng khi ngủ và tình trạng ngưng thở khi ngủ (11% người nghiến răng cũng bị ngưng thở khi ngủ). Các rối loạn giấc ngủ như kích thích âm thanh và ánh sáng và thời gian ngủ giảm (≤8 giờ) được phát hiện có mối liên hệ chặt chẽ với nghiến răng khi ngủ.
Như vậy, nghiến răng không gây rối loạn hay ngừng thở khi ngủ, mà ngược lại dường như một vài rối loạn giấc ngủ có thể gây nghiến răng ở trẻ. Khoury et al. đưa ra giả thuyết rằng hoạt động cận chức năng này có thể đóng vai trò bảo vệ trong khi ngủ, bằng cách duy trì sự thông thoáng của đường thở hoặc kích thích dòng nước bọt để làm ẩm vòm họng.
Nguyên nhân gây nghiến răng ở trẻ
Nguyên nhân của tình trạng nghiến răng là đa yếu tố, bao gồm các yếu tố sinh học, tâm lí xã hội và lối sống. Sự mất cân bằng ở một số chất dẫn truyền thần kinh trong hệ thần kinh trung ương (ví dụ dopamine và serotonin) đóng vai trò trong quá trình hình thành hoạt động của cơ nhai và nghiến răng. Sự mất cân bằng này liên quan đến các yếu tố lối sống: tiêu thụ nhiều đường; xem màn hình vi tính quá nhiều; và các yếu tố tâm lý xã hội: chẳng hạn lo lắng, trầm cảm và căng thẳng; cũng đã được chứng minh là tăng nguy cơ nghiến răng khi ngủ. Ngoài ra các vấn đề sức khỏe như rối loạn hô hấp, trào ngược dạ dày thực quản cũng là yếu tố nguy cơ của nghiến răng.
Một số loại thuốc và hóa chất có thể làm tăng số lần xuất hiện nghiến răng như thuốc ức chế tái hấp thu serotonin có chọn lọc, thuốc ức chế tái hấp thu norepinephrine, thuốc chống loạn thần, flunarizine, amphetamine, thuốc lắc, nicotine và rượu.
Cách điều trị và phòng ngừa nghiến răng ở trẻ
Tình trạng nghiến răng ở trẻ em thường không cần chỉ định điều trị, trừ khi gây ra các dấu hiệu, triệu chứng đáng lo ngại hoặc mòn răng quá mức. Các răng mòn có thể làm chụp thép để bảo vệ thân răng sữa, giữ răng sữa tới tuổi thay.
Điều trị nghiến răng bằng nha khoa bao gồm việc sử dụng máng nhai trong khi ngủ để bảo vệ răng khỏi bị mài mòn bệnh lý. Mặc dù máng nhai được sử dụng rộng rãi để điều trị nghiến răng ở người lớn, nhưng chưa có chiến lược cụ thể nào dựa trên liệu pháp máng nhai được thiết lập cho trẻ em, do răng sữa thường khá ngắn cho việc lưu giữ máng và trẻ rất khó hợp tác đeo máng.
Do các yếu tố về lối sống, tâm lý, xã hội có thể là nguy cơ của chứng nghiến răng, điều cần thiết là cha mẹ cần giữ cho trẻ lối sống lành mạnh: giảm tiêu thụ đồ ăn-uống nhiều đường, giảm thời gian sử dụng máy tính, điện thoại; để tâm hơn đến các rối loạn cảm xúc, lo âu của trẻ để có thể định hướng, động viên trẻ giảm thiểu căng thẳng, lo lắng.
Như vậy, nghiến răng ở trẻ em là tình trạng phổ biến, nhưng thường không nguy hiểm. Khi cha mẹ phát hiện trẻ có nghiến răng, cần chú ý hơn đến các rối loạn cảm xúc của trẻ; điều chỉnh lối sống tích cực để hạn chế tác động có hại của nghiến răng. Cha mẹ cũng cần theo dõi kĩ mức độ mòn răng, bất kì khi nào trẻ có triệu chứng ê buốt hoặc ảnh hưởng tới ăn nhai, cần khám nha sĩ sớm để phục hồi và bảo vệ răng cho trẻ.
NHA KHOA THÙY ANH – HỆ THỐNG NHA KHOA UY TÍN HÀNG ĐẦU VIỆT NAM
Chuyên sâu về: Niềng răng, trồng răng implant, trồng răng toàn hàm all on 4, nhổ răng khôn, điều trị cười hở lợi, bọc răng sứ, dán sứ veneer, điều trị khớp thái dương hàm…
Hotline: 0869.800.318 – 0965.800.318
Fanpage: fb.com/NKTA.official
Youtube: Youtube.com/nhakhoathuyanh
